AIRFLOW® Prophylaxis Master — профессиональная гигиена по протоколу GBT в Альтамед Голицыно
Швейцарское оборудование для полного устранения биоплёнки, пигментированных участков и зубных отложений. Безболезненный процесс для взрослых и детей в клинике «Альтамед Голицыно» в Альтамед Голицыно

Профессиональная гигиена по протоколу GBT
Профессиональную гигиену по протоколу GBT можно выполнить, применяя специализированное оборудование. Речь идёт об аппарате AIRFLOW® Prophylaxis Master. В данном материале мы подробно расскажем о его возможностях.
AIRFLOW® Prophylaxis Master – оригинальное швейцарское оборудование для выполнения профессиональной гигиены полости рта и полного устранения биоплёнки. Это инновационное решение для терапии кариеса, предупреждения болезней пародонта и поддерживающего лечения.
Он интегрирует возможность применения сразу трёх технологий: AIRFLOW®, PERIOFLOW® и PIEZON® NO PAIN.
Ранее для выполнения подобных процедур требовалось различное оборудование и инструментарий. С появлением AIRFLOW® Prophylaxis Master все эти манипуляции можно выполнить на одном устройстве, и что особенно важно, в максимально комфортных для пациента условиях.
На уровень комфорта процедуры влияет уникальная система подогрева воды, дающая возможность настраивать и контролировать её температуру. AIRFLOW® Prophylaxis Master – это оптимальный выбор для профессиональной гигиены у детей и пациентов с повышенной чувствительностью зубов.
Что вы получаете, выбирая «Альтамед Голицыно»
- Профессиональную гигиену по актуальному протоколу GBT с применением оригинального швейцарского оборудования.
- Безболезненный процесс благодаря системе подогрева воды и настраиваемой температуре.
- Всестороннее устранение биоплёнки, пигментированных участков и зубных отложений без применения ручных инструментов.
- Прочистку пародонтальных карманов и зон вокруг имплантатов без опасности повреждения конструкций.
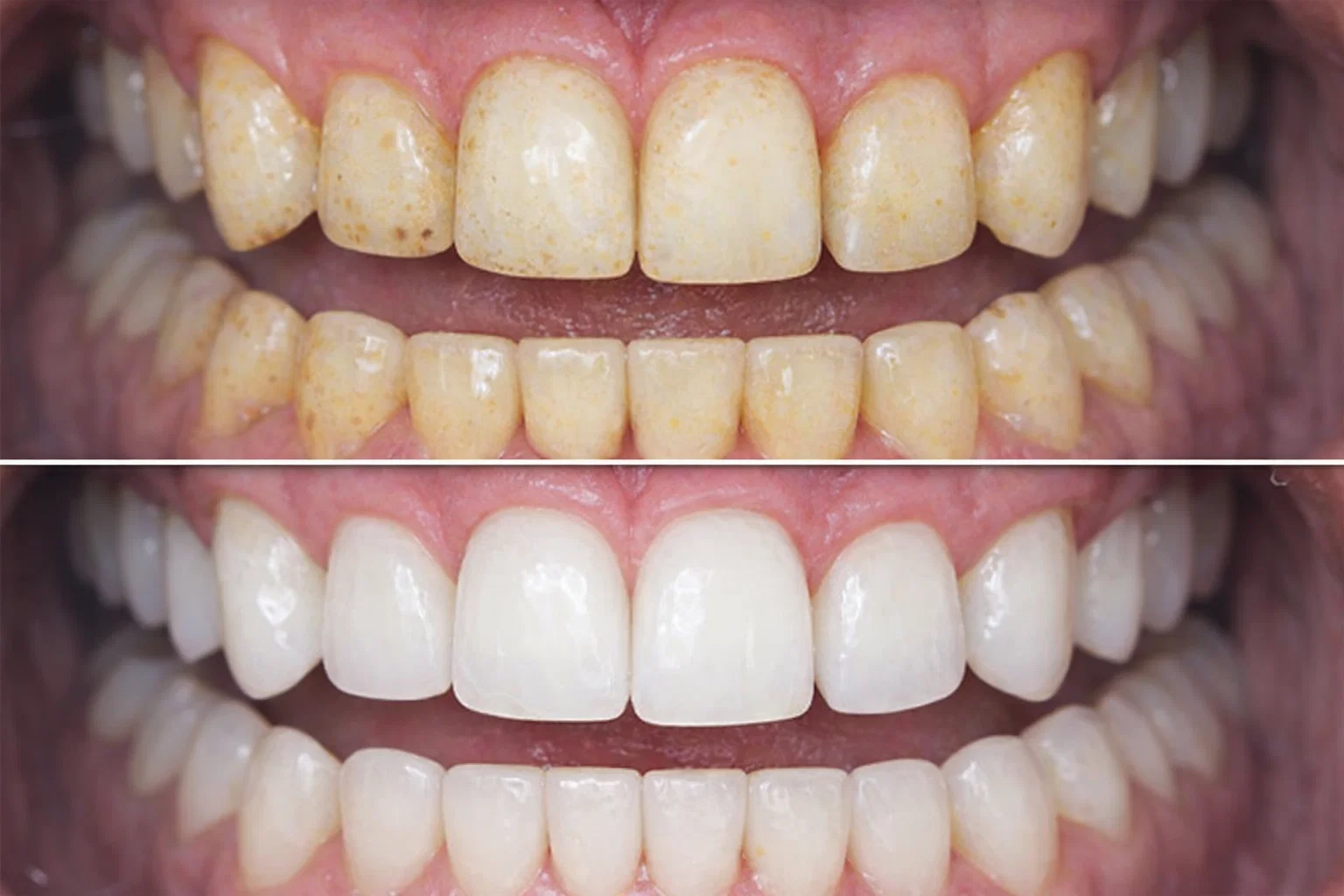
Примеры работ


Три технологии в одном аппарате
AIRFLOW®
Наконечник AIRFLOW® в сочетании с порошком PLUS эффективно устраняет биоплёнку, пигментированные участки и мягкие зубные отложения. Применение порошка AIRFLOW PLUS делает ненужным использование традиционных ручных инструментов. Отпадает необходимость в резиновых чашечках, щётках и абразивных пастах.
PERIOFLOW®
Наконечник PERIOFLOW® в комплексе с порошком PLUS бережно и полностью устраняет поддесневую биоплёнку, прочищает глубокие пародонтальные карманы глубиной от 4 до 9 мм и зоны вокруг имплантатов. Он оптимален для первичной и поддерживающей пародонтальной терапии, а также для предупреждения развития мукозита и периимлантита. Благодаря компактной форме насадки PERIOFLOW обеспечивается безболезненный доступ к пародонтальным карманам, композитным реставрациям и имплантатам без потребности в снятии коронок или разборке ортодонтических конструкций.
PIEZON® NO PAIN
Насадка PIEZON® NO PAIN PS даёт возможность полностью безболезненно для пациента устранить остаточные наддесневые и поддесневые зубные отложения.
Преимущества AIRFLOW® Prophylaxis Master
Три технологии в одном аппарате
AIRFLOW® Prophylaxis Master интегрирует три инновационные технологии для всесторонней профессиональной гигиены полости рта.
100% удаление биоплёнки
Гарантирует полное устранение биоплёнки, пигментированных участков и зубных отложений без применения ручных инструментов.
Безболезненная процедура
Уникальная система подогрева воды даёт возможность настраивать температуру, обеспечивая максимальный комфорт даже для пациентов с повышенной чувствительностью зубов.
Идеально для детей
Безболезненный и комфортный процесс делает AIRFLOW® Prophylaxis Master оптимальным выбором для профессиональной гигиены у детей.
Работа с пародонтальными карманами
PERIOFLOW® результативно прочищает глубокие пародонтальные карманы от 4 до 9 мм без потребности в хирургическом вмешательстве.
Безопасность для имплантатов
Применим для очистки зон вокруг имплантатов без опасности повреждения конструкций.
Показания к применению
- Профессиональная гигиена полости рта
- Удаление зубного налёта и пигментаций
- Профилактика кариеса и заболеваний пародонта
- Поддерживающая пародонтальная терапия
- Очистка пародонтальных карманов
- Гигиена вокруг имплантатов
- Профилактика мукозита и периимлантита
- Очистка композитных реставраций
- Профгигиена у детей
- Гигиена для пациентов с повышенной чувствительностью зубов
Особенности процедуры
Профессиональная гигиена с применением AIRFLOW® Prophylaxis Master выполняется без использования ручных инструментов, что обеспечивает повышенный комфорт и минимальную травматичность.
Уникальная система подогрева воды даёт возможность настраивать температуру, гарантируя максимальный комфорт даже для пациентов с повышенной чувствительностью зубов.
Процедура оптимальна для детей, поскольку проходит безболезненно и не создаёт дискомфортных ощущений.
Советы врача после профгигиены на аппарате AIRFLOW Prophylaxis Master
Избегайте окрашивающих продуктов в течение 2–3 часов
После процедуры эмаль становится более склонной к окрашиванию. В этот период важно отказаться от употребления чая, кофе, свеклы, ягод, красного вина, соков с красителями и курения. Это способствует сохранению чистоты и естественного цвета зубов после чистки.
Не используйте отбеливающие зубные пасты 2–3 дня
Данные пасты включают абразивные вещества, способные увеличить чувствительность зубов после устранения налёта и камня. Предпочтительнее применять мягкие пасты с нейтральной формулой или разработанные для чувствительных зубов.
При чувствительности используйте реминерализующие средства
Если после процедуры возникла чувствительность к холодному, горячему или кислому, используйте гели и пасты с фтором, кальцием или гидроксиапатитом. Они способствуют восстановлению минерального баланса эмали и уменьшению неприятных ощущений.
Используйте мягкую щетку и чистите зубы аккуратно
Мягкая зубная щётка не повреждает эмаль и дёсны после процедуры. Чистите зубы круговыми движениями без интенсивного нажима, в особенности в пришеечной области и межзубных промежутках.
Соблюдайте ежедневную гигиену полости рта
Профессиональная чистка не заменяет систематический домашний уход. Чистите зубы утром и вечером, применяйте зубную нить или ирригатор для межзубных пространств, полощите рот после приёма пищи. Это способствует сохранению результата процедуры на длительный срок.
Повторяйте процедуру не реже 1 раза в 6 месяцев
Даже при качественном домашнем уходе со временем формируется зубной налёт и камень. Систематическая гигиена у стоматолога предупреждает воспаления дёсен, кариес и поддерживает здоровье всей полости рта.
Ответы на популярные вопросы
В чём разница между аппаратной чисткой AIRFLOW и самостоятельной чисткой зубов?
Подходит ли процедура на AIRFLOW пациентам с чувствительными зубами?
Справляется ли AIRFLOW с удалением зубного камня?
Разрешена ли чистка на аппарате пациентам с брекетами или имплантами?
Разрешена ли чистка на аппарате детям и беременным женщинам?
Какова продолжительность процедуры на AIRFLOW и как часто её нужно проходить?
Необходима ли аппаратная чистка перед стоматологическим лечением?
Какое значение имеет аппаратная гигиена для ортодонтического лечения?
Разрешена ли аппаратная гигиена при воспалении дёсен или их кровоточивости?
Почему домашняя чистка зубов не может заменить аппаратную гигиену?
Зачем нужна гигиена молочных зубов, если они всё равно сменятся?
Связана ли чистота зубов с запахом изо рта?
Запишитесь на профессиональную гигиену по протоколу GBT
Квалифицированные гигиенисты клиники «Альтамед Голицыно» выполнят процедуру профессиональной гигиены с применением аппарата AIRFLOW® Prophylaxis Master. Безболезненно, комфортно и результативно.
Записаться на прием
поля, отмеченные * необходимы к заполнению
Запись через сайт является предварительной. Наш сотрудник свяжется с Вами для подтверждения записи к специалисту.
Мы гарантируем неразглашение персональных данных и отсутствие рекламных рассылок. Ваши данные нужны для обратной связи и организации записи.
